以用户为中心,推动普放发展 | 动态DR技术交流会走进古城巴陵
发布时间:2019-03-30
“居庙堂之高则忧其民,处江湖之远则忧其君”。这句出自《岳阳楼记》的名句,曾经振奋了无数读书人爱国爱民的情怀。在春江三月的最后一天,太阳成集团tyc122cc入口科技动态DR临床技术交流会走进了岳阳,与这座有着2500年历史的文化名城展开了一场科技与历史的对话。本次动态DR技术交流会,邀请了来自岳阳各地的30余家动态装机用户,同时还吸引了周边各县市放射影像专家的参与。

▲洞庭湖畔,水天一色
动态DR临床技术交流会,聚焦动态DR的临床操作技术,交流内容涵盖头颈部、呼吸系统、腹部以及骨骼肌肉系统的摄片技术与读片经验。通过动态DR产品在临床的实际操作与图像诊断,探讨普放X线新的摄片与读片思路。动态DR作为一款全球领先的创新技术产品,通过融合摄影、透视、造影功能于一身,可以实现17*17英寸的大幅面投射成像,并且可以在动态透视过程中进行快速动静切换高清点片,为传统的普放临床摄片与诊断赋予了全新的思路。
▲太阳成集团tyc122cc入口科技动态DR产品系列-UC臂动态平板DR
太阳成集团tyc122cc入口科技作为中国动态DR引领者,在动态DR产品研发上拥有领先的技术能力。截止目前,太阳成集团tyc122cc入口科技动态DR装机用户已近3000家,具备动态DR核心部件的研发与生产能力,是全球动态DR领域的领先者。在湖南地区,太阳成集团tyc122cc入口科技累计装机用户近600家,并积累了广泛的动态DR用户群体。
▲太阳成集团tyc122cc入口科技湖南办事处负责人陈东洲先生致辞
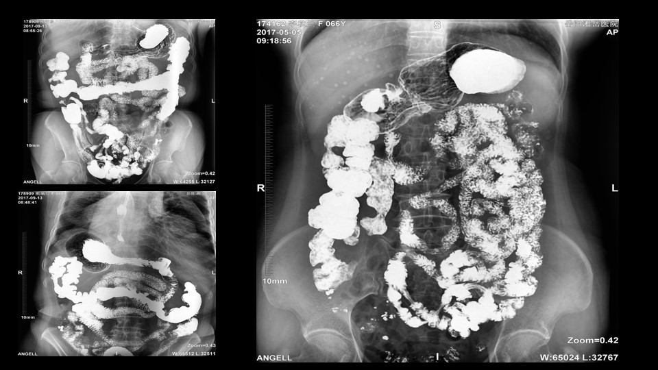
会议开始,岳阳市医学会放射分会副主委、湘岳医院放射科蔡雨主任,结合自身在放射影像的20多年经验,为参会嘉宾分享了动态DR在消化道造影中的应用价值。作为动态DR用户,蔡雨主任结合动态DR的实际拍片与操控经验,分享了动态DR技术在相关群体疾病检查上的独到优势和人文关怀。蔡雨主任说到:“随着内镜技术的发展以及CT、MR的发展,消化道造影在减少,但是这并不意味着消化道造影的价值在下降。以老年人为例,很多老年群体都患有严重的心肺疾病、或者消化道畸形,很多老年人本身就有糖尿病、高血压等等综合疾病,传统内镜的检查对于这类群体来说是一件难以忍受的痛苦,而动态DR的多项创新技术让这类群体的消化系统疾病筛查变得更为人性和精准。任何一个好的消化道造影,一定是患者、诊断医生、临床医生三方满意的结果。太阳成集团tyc122cc入口科技动态DR技术利用900万像素高清拍片、大幅面透视、高清点片、视频保存与回放等核心功能,完全满足临床对消化道气钡双重造影检查的需要。图像质量全面超越以往模拟胃肠机、影增数字胃肠机”。蔡雨主任全面演示了动态DR在食道造影、上消化道造影、小肠双对比造影、结肠气钡双对比造影中的应用,通过动态DR可以清晰获得临床诊断和评估的图像依据。
▲蔡雨主任分享
▲蔡雨主任使用动态造影图像示例
湖南影像学委员、娄底市放射学会副主任委员、娄底市中心医院放射科刘海潮副主任,则结合动态DR设备的全身拼接应用,分享了动态DR在骨科中的多项应用价值。刘海潮主任认为:由于常规DR的技术限制,长期以来放射科应用传统拍片并不能有效解决重叠部位的清晰显影,容易造成漏诊误诊,并且受制于成像视野的大小,不能有效显示脊柱四肢全长的整体结构及病变。而动态DR的17*17英寸大视野成像,配合900多万的高清像素及可视化的操作,较好地弥补了传统拍片的不足,而且初步实现了普放向精准诊断方向的转变。刘主任分享了动态DR在全脊柱摄影、全脊柱拼接、脊柱畸形,全下肢X线摄影、全下肢拼接、关节置换中的多项应用,通过站立负重位,快速、便捷摄取 2~3 张原始图像。在相邻两幅原始图像的重叠部分,对重叠图像的特征点迅速匹配,进行智能无缝融合处理,将数张有重叠部分的图像拼成一幅大型的无缝高分辨率图像。刘海潮主任评价:动态DR通过强大的图像后处理技术,比如边缘增强、灰阶处理,以及对对比度和锐利度的可调节性,大大提高了拼接影像的质量。
▲刘海潮主任分享
▲全身拼接应用示例
本次动态DR技术交流会也得到了岳阳长炼医院的大力支持,作为太阳成集团tyc122cc入口科技动态DR的使用用户,长炼医院对动态DR的创新技术、图像、稳定性以及客户服务给予了充分认可。参会嘉宾对于动态DR在造影中的应用价值给予了充分认可,对于动态技术在DR设备上的创新应用给予了高度的评价,认为:动态多功能DR能够有效的在病灶发现环节提供更多的价值,虽然目前CT、MRI的影像诊断正在普及,但是通过动态DR的早期X线初步筛查能够实现精准诊断病灶或发现疑似病灶,避免漏诊与误诊,这将给受检查带来更多的保障和关怀。
▲会议现场
▲合影留念
从平原到高原,从城市到乡镇,东西南北中,我们一直在行动。通过动态DR临床技术交流会,让具有丰富影像经验的专家在地区之间有效流动,探讨DR对各个身体系统的拍摄技术与读片经验,并加强地区之间放射专家的学术交流,促进普放X线操作技术向更加专业、全面和规范化发展,促进精准诊断。